
羊年逐渐接近尾声,大街小巷张灯结彩喜迎新年。春节前夕,1月28日南宁市老干局陈新民副局长在我院吴曙粤副院长及刘凤鸣副主任带领下,冒雨前来慰问在我科住院的离休干部,亲自到病床前看望他们,为他们带来了政府的关心和支持,并与病员家属洽谈,详细了解病情及老干部和家属的生活。他说:离休干部是我们国家的骄傲,是国家的财富,希望医院尽最大能力救治他们。科室医护人员表示一定在老干部的救治工作上尽心尽力。(重症医学科:梁立剑)
发布时间:2016-02-02
元月27日,顶着寒风凛冽的寒潮天气,南宁市第一人民医院党委书记黎君君、书记助理邵宏华及小乐园志愿者一行8人来到上林县明亮镇甘六村和塘隆村开展“党员进乡村”迎春慰问活动。在明亮镇政府礼堂,黎君君书记向甘六村和塘隆村的贫困户村民发表了热情洋溢的讲话,代表医院和院党委送上暖心的新春祝福并赠送了春节慰问品,共赠送春节慰问品60件。紧接着,在镇政府会议室,黎君君书记与镇政府领导、医院驻村第一书记和精准扶贫工作队队员进行了座谈...
发布时间:2016-02-02猴年新春即将来临之际,南宁市委老干部局陈新民副局长一行,在我院吴曙粤副院长陪同下,于1月28日上午对在我院住院的离退休老干部进行走访慰问,为他们送去党和政府的关怀与温暖,并致以节日的祝福。走访中,陈新民副局长转达了市委、市政府对老干部的亲切关怀,为老干部送去节日慰问品,与他们促膝交谈,仔细询问老干部们的身体状况和...
发布时间:2016-02-02
1月28日下午,在参加完上午市政府组织召开的会议后,市一医院迅速组织传达,在院内召开学习贯彻2016年宣传文化教育卫生等部门党风廉政建设工作会议精神布置会。会议由党委书记黎君君主持。全体院领导、职能中层、支部书记和重点岗位人员70余人参加会议。黎君君书记在会上首先传达了吕洁副市长在2016年宣传文化教育卫生等部门党风廉政建设工作会上的讲话精神。一是要提高对党风廉政建设工作的认识,增加抓好工作的紧迫性和必要性;二是要认真履...
发布时间:2016-02-02根据市委市政府的工作安排,市委常委、宣传部部长、副市长吕洁于1月26日下午率市第六检查组到我院进行春节安全生产大检查。韦金儒院长、黎君君书记及医务部、门诊办、院办、总务科、保卫科等相关部门负责人陪同检查。督察组一行先到门诊综合大楼现场巡查医院整体安全情况。随后又到消防监控室等重点部位检查是否存在安全隐患。督查组强...
发布时间:2016-02-02
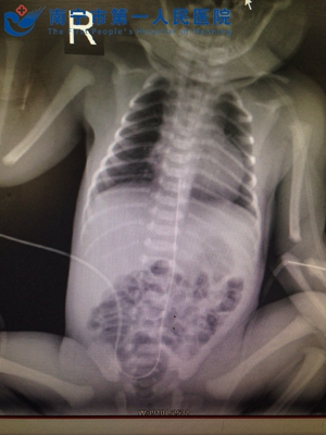
——南宁市第一人民医院新生儿科成功开展脐静脉置管技术脐带,是母亲与宝宝的生命桥梁,是保证宝宝的健康发育的生命通道,但早产儿因胎龄过小,各系统发育不成熟,抵抗力低下,一旦离开母体难以继续生存,这时候就需要在脐静脉内置管,给予宝宝继续存活的各种营养物质,开通人工的生命通道。我院新生儿科开展新生儿脐静脉置管术已近1年,是广西区内开展该技术的第二家医院,共行脐静脉置管术83例,手术均取得成功,挽救了许多早产儿、危重患儿的生命...
发布时间:2016-02-02
——常压吸氧设备常压吸氧设备是在常压状态下吸入纯氧,提高人体内的血氧含量,是与高压氧舱相辅相成的一种新技术产品。常压吸氧设备具备与高压氧舱类同的排氧功能,使患者在常压下使用面罩进行吸氧与排氧,是高压氧治疗的延伸。尽管高压氧治疗作用不可替代,但并不是所有患者都能耐受,常压吸氧无需进舱,简单易行,不受环境及时间限制,随时可以开展,尤其对于那些由于特殊情况暂时不能进行高压氧治疗的患者,常压吸氧起到很好的替代作用。常压吸...
发布时间:2016-02-02
律回春晖渐,万象始更新。满怀收获的喜悦,我们惜别2015年;满载着梦想,我们迎来了充满希望的2016年。2016年1月19日,南宁市第一人民医院礼堂洋溢着收获与喜悦的祝福,医院2015年度总结表彰暨2016年新春联欢会在这里隆重举行。全体院领导及各职能部门、业务科室负责人和职工代表欢聚一堂。会上,黎君君书记首先代表院领导班子和院党委发表了热情洋溢的新春贺辞。他在贺辞中指出:2015年,是我们凝心聚力抢抓机遇、加快建设促进跨越发展的一年。在公...
发布时间:2016-02-02
2016年1月25日下午2:30,医院“规培办”抽调专家组成4个检查小组,深入医院18个住院医师规范化培训专业基地进行2016年首次“规培”基地工作质量检查。从此次检查的情况看:部分专业基地硬件设施整改尚未到位;个别科室小讲课、教学查房、病例讨论仍有待完善;多数基地对医院新购置“规培”管理软件操作操作使用有待加强。检查中台账记录较好的科室有:风湿免疫科、放射科、超声科、消化内科、心胸外科、ICU、产科、肾内科、新生儿科等“规培”工作质量与医院...
发布时间:2016-01-29在2015年的年度医院质控工作总结会议中,中西医结合科主任青姚副主任医师介绍了中西医科医疗质量管理及安全工作开展的经验,受到了参会院领导及其他临床科室负责人的一致好评。中西医结合科是一个年轻的医护团队,在临床工作中经验稍显不足,2015年上半年多次在医疗质量控制的评估中出现差错。认识到出现的问题后,中西医科质控与...
发布时间:2016-01-29
正值新春佳节来临之际,1月25日下午,市委常委、常务副市长张文军,督查室主任徐铭斯一行轻车简从,来到我院慰问看望市政府原顾问、老红军杨玉茂老人,给老人送去新春的祝福及党和政府的亲切关怀。张文军副市长详细询问杨老的身体状况和饮食起居,在听到杨老身体健康,饮食起居有医院的医生和护士照顾后,张副市长很高兴,并叮嘱老人家要注意防寒保暖,有困难要及时反映。杨老感谢张副市长的探望,也预祝大家春节快乐!市委组织部、市委老干局、市人...
发布时间:2016-01-29
2016年1月22日下午,值此新春佳节临近之际,春寒时冷,但在医院礼堂却洋溢着温暖祥和的气息,“2016年进修、实习生‘迎新春’座谈会”在此隆重举行,医院党委黎君君书记、吴曙粤副院长、林健燕院长助理及教师代表与进修生、实习生共同进行座谈。座谈会由吴曙粤副院长主持,在会上林健燕院长助理宣读了关于表彰2015年度优秀实习生的决定,并由院领导为受表彰优秀实习生颁发荣誉证书。黎君君书记致辞祝贺受表彰同学,勉励实习生、进修生们继续刻苦学习临...
发布时间:2016-01-29