发布时间:2020-05-28 浏览: 次
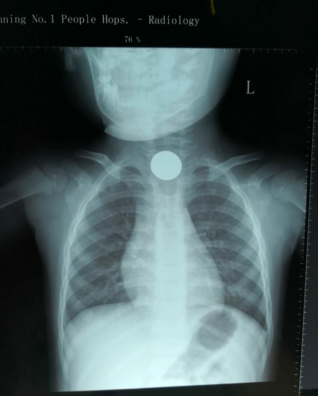
5月24日晚上10点左右,我院急诊儿科接诊了一位怀抱小孩(化名小陆)的母亲。根据小陆妈妈讲述,小陆目前1岁10个月,于5月24日下午6点左右,患儿在家中独自玩耍时突然出现哭闹不安,时有咳嗽、干呕,并有少量带鲜红血丝的口水吐出。家长发现这一情况后心急如焚,急急忙忙赶来我院急诊儿科就诊。急诊儿科医师了解情况后立即给小陆进行了胸部X线检查,结果令家长大吃一惊!胸片显示在宝宝的胸1、2椎体水平重叠处见一直径约21mm圆形金属致密伪影,考虑为食道异物。据家长回忆,当天下午小陆妈妈整理家务时,散落了数枚硬币,小孩便拿着遗落的硬币玩耍,食道中显示的异物可能就是被小孩误吞下去的硬币。此时,硬币在患儿消化道内存留时间已经近5小时!随时可能造成消化道粘膜损伤、糜烂,甚至穿孔、大出血的危险,情况十分紧急,硬币在体内多滞留1分钟,患儿就多一分钟的风险,必须尽快取出异物。
5月24日晚上10点40分,急诊医生立即联系儿科一区病房,并开启绿色通道为患儿办理住院手续。儿科一区值班医护人员迅速行动起来,有条不紊的开展对患儿的救治工作,对患儿的病情进行全面评估,积极为患儿进行急诊电子胃镜的术前准备,同时紧急联系消化内科、麻醉科、放射科等多学科联合会诊,经相关科室专家会诊,确定治疗方案:在手术室行电子胃镜下取出异物。
5月25日凌晨0时10分,各项术前准备完毕,患儿被医务人员送进手术室,麻醉师为患儿实施气管插管全身麻醉。00时50分,消化内科医师黄钢丁副主任医师开始为患儿行电子胃镜检查,于食管入口处见一枚硬币,予异物钳夹住后随胃镜退镜取出,01时15分手术顺利结束。经过多个学科的通力合作,医务人员从患儿的食管取出一枚5角硬币,解决了患儿可能面临的消化道穿孔、大出血的危险。
5月25日凌晨02时02分,小陆由手术室返回病房,经过吸氧、补液等治疗,终于从麻醉中苏醒过来,未发现并发症。小陆母亲及现场参与救治的医护成员,终于都松了一口气。
探索、好奇是孩子的天性,喜欢用嘴巴来探索世界,儿童缺乏对危险的辨识能力,喜欢把东西往嘴里塞,关于幼儿吞入或吸入异物的报导屡见报端,有些孩子甚至为此付出了生命。为此医务人员再次呼吁家长,在照看儿童的时候,需要时刻警惕,应当将对儿童可能会造成危险的物品,如硬币、纽扣等小体积或尖锐的物品妥善收纳,放到儿童够不到、看不到的地方;儿童进食应当由大人看护,年龄过小的儿童应当避免或减少食用糖果或坚果。医师提醒,日常生活中,当儿童发生异物卡在咽喉部或食道的情况时,应当立即禁食、禁饮,迅速到最近的正规医院就诊,不要自行处理,否则会耽误救治最佳时间。


(儿科一区 周东春 梁正 )