发布时间:2026-01-23 浏览: 次
一、什么是主动脉夹层
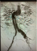
主动脉直接连接心脏,并贯穿整个躯干纵轴,全身的血管均由此发出。主动脉夹层指主动脉腔内的血液从主动脉内膜撕裂处进入主动脉中膜,使中膜分离,沿主动脉长轴方向扩展形成主动脉壁的真假两腔分离状态。全国人群统计发病率1∕10万-20万,而主动脉夹层死亡率极高,为心血管最凶险的疾病之一,如不及时救治48小时内死亡率达50%,远期死亡率达90%!
主动脉覆膜支架腔内置入术是目前主动脉夹层(Debakey Ⅲ型)治疗的首选手段,较之传统的外科开胸手术治疗,主动脉覆膜支架腔内置入术具有微创(仅需外周动脉穿刺)、术时短、成功率高、病死率低和并发症低等优点。




二、腹主动脉瘤
腹主动脉瘤是老年人常见的主动脉疾病之一,指腹主动脉呈瘤样扩张,通常直径增大50%以上定义为动脉瘤。正常人的腹主动脉直径小于2厘米,腹主动脉瘤的患者,直径大多在3厘米以上。通常3至5厘米范围内可以定期观察,5厘米以上随时可能出现动脉瘤破裂导致猝死,应尽早手术。
腹主动脉瘤手术方式包括:1、外科开腹人工血管置换手术。开腹手术面对已出现渗漏的腹主动脉瘤治疗有方便止血优势,但手术创伤大,需要输血,病人不易耐受。2、微创介入腔内覆膜支架植入术。腹主动脉覆膜支架腔内隔绝术手术的优点是降低围手术期死亡率,合并多基础病的腹主动脉瘤患者更容易耐受,潜在优点包括降低手术耗时、减轻疼痛和创伤、缩短住院时间和外科监护时间、减少输血。


