发布时间:2026-01-23 浏览: 次

冠心病
冠状动脉是环绕心脏的血管,负责供血液给心脏肌肉提供氧气及营养,使心脏可以正常动作。冠心病是由于冠状动脉变得狭窄或闭塞,因而使心肌得不到足够的氧气和营养而形成,严重的可令心脏坏死,甚至死亡
冠心病的危害
冠心病一直是全球头号杀手,而在各类型心脏病中,冠心病的死亡人数远超其它类型心脏病,患者年龄有年轻化的趋势。
冠心病的症状
冠心病可以由全无症状到突然死亡,或出现以下的症状:
胸口压痛或有被压迫的感觉,通常持续数分钟。休息后可令疼痛舒缓,
疼痛可伸展到颈、手臂、下颚部。
第三,可能有出汗、晕眩、作呕、心悸、气喘。

冠心病的治疗
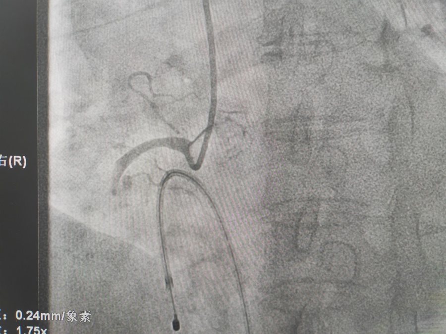
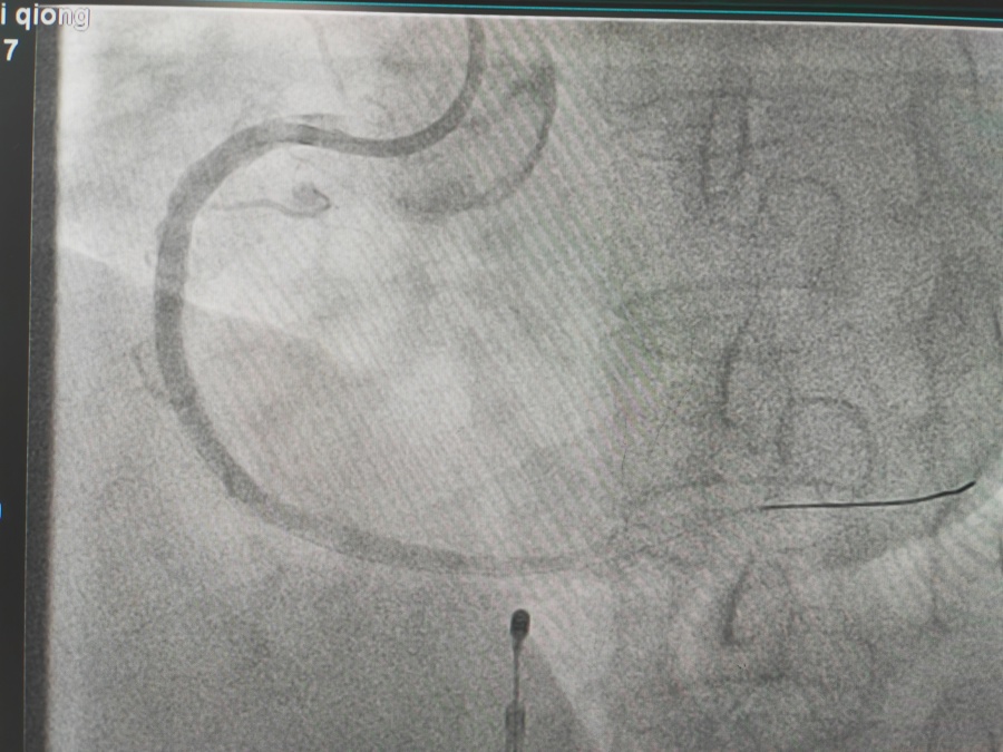
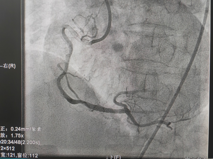
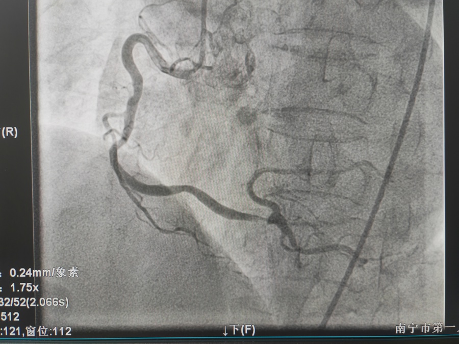
冠脉支架置入术是将以不锈钢或合金材料刻制或绕制成管状而其管壁星网状带有间隙的支架(药物支架),置入冠状动脉内已经或未经PTCA扩张的狭容节段支撑血管壁,维持血流畅通。因球囊扩张后,约20-40%的病变会发生再狭窄,有些会发生急性冠脉闭塞而导致急性心肌梗死或死亡,所以在扩张后,多致需要再用冠脉内支架将病变处永久性撑开,即支架置入。置入支架是为了减少斑块撕袭后塌陷,急性塞,增加手术安全性,减少再狭窄。目前PTCA加上支架置入术已成为治疗冠心病的重要手段。



