一、无痛胃肠镜检查技术
我科在广西区内最早开展无痛胃肠镜检查技术,使病人可在无痛苦状态下完成整个检查和治疗过程。

二、激光放大染色内镜
可清晰显示胃肠黏膜的腺管开口和微细血管等微细结构的变化,能比较准确地反映病变组织的病理学背景,区分增生性、腺瘤性和癌性病变,提高平坦和凹陷性早期癌的检出率,对消化道疾病的诊断及治疗具有重要的价值。
放大内镜下可见不规则微结构 BLI模式下可见不规则微血管
三、早期消化道肿瘤ESD技术
内镜下粘膜剥离术(ESD),具有超级微创、安全性高、住院时间短及费用低等优势。

直肠巨大绒毛状腺瘤 内镜下粘膜剥离过程

粘膜剥离术后创面 剥离的巨大腺瘤
四、内镜下逆行胰胆管造影术(ERCP)
是指将十二指肠镜插至十二指肠降部,找到十二指肠乳头,由活检管道内插入造影导管至乳头开口部,注入造影剂后x线摄片,以显示胰胆管的技术。由于ERCP不用开刀,创伤小,手术时间短,并发症较外科手术少,住院时间也大大缩短,深受患者欢迎。适应于:1. 胆道梗阻引起的黄疸;2. 胰腺或胆道疾患(如结石、肿瘤、硬化性胆管炎等);

胆总管结石造影所见 网篮取出结石

十二指肠乳头癌 十二指肠乳头插管

胆管金属支架置入过程 金属支架置入术后
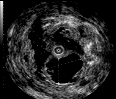
五、超声内镜诊疗技术
超声内镜(EUS)是将内镜和超声相结合的消化道检查技术,将微型高频超声探头安置在内镜前端,当内镜插入消化道后,在内镜直接观察消化道黏膜病变的同时,可利用内镜下的超声探头行实时超声扫描,可以获得胃肠道的层次结构的组织学特征及周围胆胰等邻近脏器的超声图像,从而进行特定肿瘤的诊断和治疗。


内镜下可见降部黏膜下肿物 超声内镜下可见黏膜下低回声囊肿
六、内镜下经皮胃造瘘术
内镜下经皮胃造瘘术是一种通过胃镜介导放置胃造瘘管进行肠内营养或胃肠减压的方法,与传统的外科胃肠造瘘术相比,内镜下经皮胃造瘘术无需全身麻醉和外科手术,操作相对简便,术后并发症少,在临床上得到迅速广泛应用。尤其是对于不能长期经口进食的患者和神经系统疾病的危重症患者,应用内镜下经皮胃造瘘术给予肠内营养具有独特的优势,可迅速恢复患者的胃肠功能,减少吸入性肺炎的发生,有效的延长生命。我科是广西区内开展内镜下经皮胃造瘘最早的科室,在治疗上有十分丰富的经验。
胃造瘘胃体内一端
七、经鼻空肠管置入术
经鼻空肠管植入术在肠梗阻、急性重症胰腺炎等急危重患者治疗中,可早期恢复患者的肠内营养,减少肠道粘膜通透性,预防感染。经胃镜置放鼻空肠营养管方法简单, 快捷且安全, 成功率高, 患者耐受性好, 易于接受。
经鼻空肠管在胃内
八、内镜下内痔硬化剂及套扎治疗
内镜套扎治疗及硬化治疗 适合I-III期 内痔,包括部分混合痔的微创治疗,疗效显著,与传统外科手术相比,超级微创、费用低、见效快,具有很大优势。

III度内痔 硬化剂及套扎术后
九、经口内镜下食管括约肌切开术(peroralendoscopicmyotomy,POEM)
POEM是治疗贲门失弛缓症的内镜新技术,基本取代传统的胸外科开胸食管肌切开术,成为首选的治疗方式。

贲门失弛缓症食管紧闭 食管粘膜切开建立隧道

食管肌切开 金属夹闭合切口