一、学科概况
南宁市第一人民医院消化内科二区是集医疗、教学、科研于一体的现代化专科,拥有1041㎡标准住院病区(开放床位38张)及1300㎡国际一流内镜中心,下设胃肠镜检查室、ERCP室、超声内镜室、动力检测室、菌群移植实验室等五大功能区,配备6台高端胃肠镜主机、16条高清胃镜、9条电子肠镜、3条超声内镜、2条十二指肠镜、1条小肠镜等尖端设备,年诊疗量超万人次。
人才队伍建设
现有医护人员26人,其中正高职称2人,副高职称3人,中级职称3人,其中博士6人(在读5人),硕士6人,是一支技术精湛、服务热情、团结友爱、不断进取的医疗团队。
核心专家团队
姓名 | 职称/头衔 | 专长领域 |
黄华丽 | 消化内科二区主任 主任医师 医学博士 硕士生导师 南宁市高层次D类人才 日本群马大学访问学者 | 腹部CT阅片,对消化科疑难杂症积累了一定的经验。 ERCP诊治、消化道早癌诊断及ESD治疗、胆胰超声内镜诊治。 |
黄钢丁 | 消化内科二区副主任 主任医师 医学博士 硕士生导师 南宁市高层次人才 | 功能性胃肠病、粪菌移植 |
吴大海 | 副主任医师、内镜微创专家 | ERCP、早癌诊治ESD、小肠镜诊疗 |
陈文静 | 副主任医师、超声内镜专家 | 胰腺肿瘤穿刺、早癌诊治 |
唐永凤 | 副主任医师、内镜微创专家 | 早癌诊治、肝硬化并发症、小肠疾病诊治 |
三、专家简介

黄华丽
消化内科二区主任、中共党员、主任医师、医学博士、硕士生导师、南宁市高层次D类人才、日本群马大学访问学者
从事消化内科多年,在临床、内镜、科研、教学等方面全面发展。
临床专长:擅长重症急性胰腺炎、消化道大出血等消化科急、危重症诊疗。特别擅长阅读腹部CT影像。
内镜专长:擅长消化内镜操作及高级内镜下微创手术治疗,如胆胰管结石及肿瘤ERCP诊治、消化道早癌诊断及ESD治疗、胆胰超声内镜诊治等。
曾到南方医科大学深圳医院进修消化道早癌诊断及ESD、超声胃镜诊治、中山医科大学肿瘤中学习超声胃镜诊治。2023年被国家教育部公派到日本群马大学附属医院访问学者1年,主修消化道早癌诊断及ESD治疗。
出诊时间:每周一全天(1号楼2楼16号诊室)

黄钢丁
消化内科二区副主任、中共党员、主任医师、医学博士、硕士生导师、南宁市高层次人才、德国WKK医院访问学者。
从事消化内科专业20余年。参加临床、科研、教学等方面工作。广西中西医结合消化学会消化专业委员会委员。
临床专长:擅长功能性胃肠病的诊治、肠道菌群失调引起的各种疾病的诊治、粪菌移植治疗;擅长各类消化疾病:消化性溃疡、上消化大出血、肝硬化并腹水、肝性脑病,急性胰腺炎、炎症性肠病的诊断及治疗。
内镜专长:擅长消化内镜操作及各内镜下治疗,如消化内镜下早癌筛查、消化内镜检查、内镜下息肉切除、消化道出血的内镜下止血、食管胃底静脉曲张破裂出血内镜下止血、消化道狭窄支架置入术、经皮胃造瘘术等治疗。
曾在广州南方医院及北京协和医院进修、到德国交流学习。
出诊时间:每周三全天(1号楼2楼16号诊室)

吴大海
消化内科二区副主任医师、中共党员、医学硕士
从事于消化内科多年,积累了丰富的临床、内镜等工作经验。
临床专长:擅长消化性溃疡、上消化大出血、肝硬化并腹水、肝性脑病,急性胰腺炎、炎症性肠病的诊断及治疗。
内镜专长:擅长各类消化内镜操作,尤其擅长高级内镜下微创手术治疗,如ERCP、ESD、ESVD、消化道狭窄支架置入术、经皮胃造瘘术等。
2015年四川大学华西医院消化内镜中心进修学习,2023年到中山大学第六医院进行小肠镜诊治。
门诊时间:每周二全天(1号楼2楼16号诊室)

陈文静
消化内科二区副主任医师、医学博士、南宁市高层次人才
从事消化内科临床及内镜工作10余年,临床、教学、科研工作全面发展。
临床专长:对消化内科常见疾病如胆胰疾病、消化道出血、肝病、炎症性肠病、慢性胃炎、消化性溃疡、幽门螺旋杆菌感染等疾病的诊治及危重症患者抢救有丰富的临床经验。
内镜专长:擅长超声内镜检查及超声内镜引导下穿刺,熟练掌握消化内镜下早癌筛查诊断及内镜下治疗、消化道出血的内镜下止血、胃肠息肉EMR等治疗。
门诊时间:每周六或周日全天(1号楼2楼16号诊室)

唐永凤
消化内科二区副主任医师、中共党员、医学博士、南宁市高层次人才
从事消化内科临床及内镜工作10余年,临床、教学、科研工作全面发展。
临床专长:擅长急性胰腺炎,各型肝炎、炎症性肠病、消化道疾病的诊治。
内镜专长:擅长内镜下的微创手术,包括消化道早期癌诊治及ESD、食管静脉曲张套扎止血、小肠镜、胃肠息肉EMR等。
门诊时间:周四全天(1号楼2楼16号诊室)
四、特色诊疗技术
作为广西消化内镜技术领跑者,我科率先开展以下特色诊疗:
1.无痛胃肠镜检查技术
广西首批开展无痛胃肠镜技术,实现检查全程舒适化,患者满意度达98%。

2.激光放大染色内镜
微米级病灶识别率提升40%,早癌检出率全区领先。
放大内镜下可见不规则微结构 BLI模式下可见不规则微血管
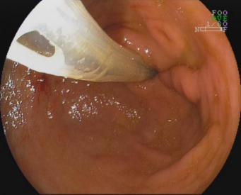
3.早期消化道肿瘤ESD技术
内镜下粘膜剥离术(ESD),具有超级微创、安全性高、住院时间短及费用低等优势,治疗早期胃癌、食管癌、大肠癌等病变,5年生存率超90%。

直肠巨大绒毛状腺瘤 内镜下粘膜剥离过程

粘膜剥离术后创面 剥离的巨大腺瘤
4、内镜下逆行胰胆管造影术(ERCP)
广西首例十二指肠乳头癌ERCP治疗单位,结石清除率>95%。由于ERCP不用开刀,创伤小,手术时间短,并发症较外科手术少,住院时间也大大缩短,深受患者欢迎。适应于:1. 胆道梗阻引起的黄疸;2. 胰腺或胆道疾患(如结石、肿瘤、硬化性胆管炎等)。


胆总管结石造影所见 网篮取出结石


十二指肠乳头癌 十二指肠乳头插管


胆管金属支架置入过程 金属支架置入术后
5.超声内镜诊疗技术
实现胆胰肿瘤穿刺活检、胰腺假性囊肿引流等高难度操作。

内镜下可见降部黏膜下肿物 超声内镜下可见黏膜下低回声囊肿
6.经口内镜下食管括约肌切开术(peroralendoscopicmyotomy,POEM)
POEM是治疗贲门失弛缓症的内镜新技术,基本取代传统的胸外科开胸食管肌切开术,成为首选的治疗方式。

贲门失弛缓症食管紧闭 食管粘膜切开建立隧道

食管肌切开 金属夹闭合切口
7.粪菌移植 (FMT)中心
广西唯一独立完成供体管理-菌液制备-临床应用全链条单位。适应症:难治性艰难梭菌感染性腹泻,抗生素相关性腹泻、腹腔高压综合征、焦虑及抑郁、脂肪性肝炎。
技术亮点:供体筛选严格(101项指标),菌群活性保存率达92%。


8.内镜下内痔硬化剂及套扎治疗
内镜套扎治疗及硬化治疗 适合I-III期 内痔,包括部分混合痔的微创治疗,疗效显著,与传统外科手术相比,超级微创、费用低、见效快,具有很大优势。

III度内痔 硬化剂及套扎术后
9.内镜下经皮胃造瘘术
我科是广西区内开展内镜下经皮胃造瘘最早的科室,在治疗上有十分丰富的经验。
内镜下经皮胃造瘘术是对于不能长期经口进食的患者和神经系统疾病的危重症患者,应用内镜下经皮胃造瘘术给予肠内营养具有独特的优势,可迅速恢复患者的胃肠功能,减少吸入性肺炎的发生,有效的延长生命。
胃造瘘胃体内一端
10.经鼻空肠管置入术
经鼻空肠管植入术在肠梗阻、急性重症胰腺炎等急危重患者治疗中,可早期恢复患者的肠内营养,减少肠道粘膜通透性,预防感染。经胃镜置放鼻空肠营养管方法简单, 快捷且安全, 成功率高, 患者耐受性好, 易于接受。

经鼻空肠管在胃内
11.FibroTouch肝脏健康检测系统
无创评估肝硬度、脂肪含量,检测时间<2分钟,误差率<5%
FibroTouch可以应用于如下领域:
1.用于进行普通人群的肝脏健康状况筛查;
2.用于进行慢性肝病患者的肝纤维化程度快速测量;
3.用于对慢性肝病治疗效果的全过程跟踪;
4.用于各类肝硬化并发症的预测;
5.用于评估长期药物治疗所造成的肝损伤;
6.用于评估各类代谢综合症(糖尿病、高血压、高血脂)所引起的肝脏损伤。

FibroTouch肝脏健康检测系统
12.生物信息红外肝病治疗仪(BILT治疗仪)
生物信息红外肝病治疗仪( BILT 治疗仪)是一种新的非药物治疗肝病技术。通过该仪器的治疗,可以使门静脉的血流量显著增加,改善肝脏的血液循环,使肝细胞得到充足的血、氧及营养物质,有效改善肝细胞新陈代谢。
BILT治疗仪具有操作简单、使用方便、安全无创的优点,每天2次,每次30分钟,连续使用可以:
迅速改善患者五大症状:失眠、乏力、厌食、肝区疼痛和腹胀;
迅速改善肝脏微循环,增加肝脏血流量;
显著降低门脉高压,促进白蛋白合成,改善肝硬化预后;
调节患者免疫状态,改善肝功能,缩短康复周期;
单用或与药物联用,对脂肪肝、高血脂均有显著疗效。

生物信息红外肝病治疗仪
六、科室照片

医院地址: 南宁市青秀区七星路89号南宁市第一人民医院(凭此宣传单到1号楼2楼16号诊室就诊)
公共交通路线:市内乘坐11路、212路、60路、802路、80路、89路、97路、10路、11路、46路、701路、地铁1号线新民路站
联系方式:0771-2636269、0771-3919721