脊柱骨病外科简介
脊柱骨病外科病区(骨科二区)共有医生12名,其中广西医科大学硕士研究生导师2人,主任医师2人、副主任医师4人、主治医师3人、住院医师2人,其中博士6人(含博士后2人,在读博士2人)、硕士4人,护士16人。其中副主任护师1人,主管护师7人、护师7人,护士1人。
在学科带头人顾容赫博士后、主任医师、副院长及黎裕明主任的带领下,全科医护人员团结协作,整体实力雄厚,医疗技术精湛,脊柱专业特色突出。科室注重规范化管理,实行“医护一体化”模式,使患者得到全程、周到的服务。实行无痛病房管理模式,使用个性化疼痛评分方法,有效控制住院患者的疼痛症状。
一、诊疗范围:
1.门诊 门诊诊室位于1号楼二楼外科诊区3号诊室,每周一至周五由主治医师级别以上专家坐诊。主要诊疗范围:1.颈肩腰腿痛,四肢放射痛、麻木、乏力,大小便功能障碍,行走不稳,落枕,腰扭伤等;2.腰椎退行性疾病,腰椎间盘突出症,腰椎管狭窄症,退行性侧弯,腰椎滑脱等;3.老年性骨质疏松引起的胸腰背部疼痛、活动受限等症状;4.脊柱结核、脊柱肿瘤、四肢骨与软组织肿瘤、骨髓炎以及各种畸形等骨病。
2.住院病房 位于1号楼十三楼,开放床位48张。主要开展以下手术:1.颈椎前后路手术,包括环枢椎骨折脱位后路内固定术,齿状突骨折前路中空加压螺钉内固定术、颈椎前路减压融合内固定术、颈椎后路单开门手术等;2.脊柱微创手术:椎间孔镜、椎间盘镜、UBE单摘及镜下融合、椎间孔镜下融合手术(EndoP/TLIF)、Quadrant通道下治疗腰椎间盘突出症、腰椎管狭窄症、腰椎滑脱等退行性疾病,胸腰椎骨折闭合复位螺钉内固定术等;3.椎体成形术、椎体后凸成形术治疗老年性骨质疏松椎体压缩性骨折等。4.脊柱侧弯矫形、强直性脊柱炎矫形手术治疗。5. 脊柱结核病灶清除重建术;6.脊柱肿瘤切除重建术、椎管内肿瘤切除术、脊柱转移瘤微波消融+椎体成形术、四肢肿瘤切除重建手术等。7.富血小板血浆(PRP)治疗骨关节炎、半月板损伤、滑膜炎、软骨损伤、网球肘、肩周炎、跟腱炎、跟痛症、肩袖损伤、腱鞘炎、骨折延迟愈合、骨不连、骨髓炎、不愈合创面、褥疮、糖尿病足等。
二、特色诊疗内容:
1.上颈椎
如齿状突骨折、寰枢椎骨折(脱位)、寰枕畸形等,上颈椎失稳可引起严重的脊髓功能障碍。上颈椎前路或后路手术骨折复位固定,重建脊柱稳定性,解除脊髓压迫。

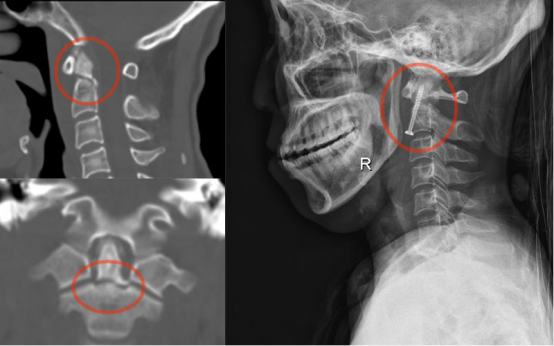
注:手术前CT示齿状突骨折,手术予微创前路中空加压螺钉内固定,术后照片显示骨折复位满意。

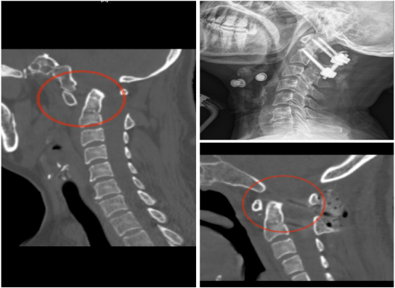
注:手术前CT示寰枢椎脱位,椎管狭窄,手术予后路寰枢椎螺钉内固定,术后照片显示骨折复位满意。
2.下颈椎
⑴颈椎前路手术:椎间盘切除Cage椎间融合术;椎体次全切椎管减压钛笼钛板内固定术。⑵颈椎后路手术:后路单开门、双开门椎管扩大成形术;侧块螺钉钉棒内固定术。⑶颈椎前后路联合手术,一期完成治疗复杂性颈椎病。

图注:手术前MRI显示多节段颈椎间盘突出、椎管狭窄、脊髓受压,手术予颈4椎体次全切除,钛笼植入钛板内固定。

图注:手术前MRI显示多节段颈椎间盘突出、椎管狭窄、脊髓受压,手术予微创切除颈4/5、颈5/6椎间盘并于椎间植入Cage行椎体间融合。

图注:手术前MRI显示多节段颈椎间盘突出、椎管狭窄、脊髓受压,手术予后路颈椎板单开门,解除脊髓受压。
3.脊柱微创内镜技术治疗腰椎间盘突出症
(1)在椎间孔镜下,于椎间盘纤维环外手术,彻底清除突出或脱垂的髓核和增生的骨质来解除对神经根的压迫,消除由于对神经压迫造成的疼痛,使用椎间孔髓核切除术可以精确的对椎间盘进行手术而不触及健康组织。因此可以最大程度地保持纤维环的完整性和保持脊柱的稳定性,在同类手术中对病人创伤最小、效果最好。局麻下操作,术后当天即可下地活动。

图注:术前MRI提示腰4/5/椎间盘脱出向上游离,使用侧路椎间孔镜穿刺定位,术中可见白色髓核突出,术中直视下切除突出髓核组织。
(2)EndoP/TLIF开展小切口微创髓核摘除纤维环修复术、保留椎板的椎管潜行减压术,手术创伤小、恢复快,术后第二天可下床活动。

图注:开展微创小切口髓核摘除纤维环修复术,创伤小,特别合适年轻腰椎间盘突出症患者
(3)UBE开展小切口微创髓核摘除纤维环修复术、保留椎板的椎管潜行减压术,手术创伤小、恢复快,术后第二天天可下床活动。

(4)微创固定技术治疗胸腰椎骨折
年轻人外伤后导致的胸腰椎骨折,通过小切口微创置钉固定,可复位骨折,重建脊柱稳定性,术后可早期活动,恢复正常日常生活。

图注:微创经皮椎弓根螺钉内固定,术中透视骨折复位满意。
(5)椎体成形术治疗老年骨质疏松性胸腰椎压缩骨折
是老年常见疾病,老年人骨质疏松,坐车颠簸、轻微外伤、甚至日常生活就可导致腰椎、胸椎压缩性骨折,翻身、起床、站立时胸腰背部疼痛难忍。通过PKP、PVP微创技术,局部麻醉或全麻下,皮肤切口约3mm,向骨折椎体内注入骨水泥,骨折椎体即刻稳定,疼痛解除,手术时间约30分钟,术后第二天就可下床活动,手术疗效好,恢复快,住院时间短。

图注:胸12、腰2椎体骨质疏松性压缩性骨折,行胸12、腰2锥体成形术。
4. 脊柱肿瘤手术


图注:上胸椎巨大肿瘤,联合心胸外科行肿瘤切除术,术后患者下肢肌力由术前2级恢复到4级。
5. 脊柱转移瘤分离手术


6. 脊柱侧弯矫形手术


7.富血小板血浆(PRP)注射疗法
PRP可以加快骨修复、软骨愈合、促进血管上皮细胞生长等,之所以PRP具有加快人体损伤修复,是因为其富含人体多种最佳比例的生长因子,这些生长因子是日常人体各组织器官能够自我修复的关键物质。富血小板血浆(PRP)的适应症主要有慢性损伤性骨关节炎、半月板损伤、滑膜炎、软骨损伤、网球肘、肩周炎、跟腱炎、跟痛症、肩袖损伤、椎间盘退变、腱鞘炎、骨折延迟愈合、骨不连、骨髓炎、关节感染、窦道、不愈合创面、褥疮、糖尿病足。

图注:PRP治疗骨性关节炎

图注:PRP治疗足部久治不愈的创面
科研论文




脊柱骨病外科:护士站0771-3919622,医生办公室:07713919623
黎裕明主任电话:18077160056 刘会江副主任:18077169003